본문 바로가기
건강상식

몸 상태가 나빠지면서 시작된 잇몸 내려앉음

by icandoblog 2026. 1. 11.
반응형

 

 

 

아이낳고 잇몸이 내려 앉았는데 40대 후반이 되니깐 잇몸이 더 내려갔어요 

찬물 마실 때 시린 느낌이 심해지고 

단음식 먹을때도 너무 시려서 잘 먹을 수가 없어요.

 

저도 처음엔 “나이 들면 어쩔 수 없지”라고 생각하고 포기하고 있었는데

 

알아보니 내려앉은 잇몸도 치료가 가능하더라고요.

 

그중 하나가 바로 결합조직 이식술 이라는 시술 이있는데 

생각보다 효과도 좋고 만족도가 높은 시술 이더라고요.

 

잇몸이 내려앉는 이유

잇몸이 내려가는 이유는 하나가 아니라고 해요.

 

양치를 너무 세게 하는 습관은 잇몸을 손상시키는 큰원이이예요.

 

치석과 잇몸 염증이 반복된 경우

오래 방치하면 잇몸이 금방 내려 앉아요. 

 

치아 배열이나 교합 문제가 생겨도 잇몸에 손상을 줄수있다고 해요.

 

오래된 잇몸 질환 등

이런 이유들이 쌓이면서

잇몸이 점점 아래로 내려가게 된다고 해요.

 

문제는 내려간 잇몸이 자연스럽게 다시 올라오지는 않는다는 점입니다.

 

출처 - 권의 시선 : 치과의사 권낙현 유튜브  (교정이 잘못되어 내려앉은 경우)

 

내려앉은 잇몸, 방치하면 이가 약해져요.

 

잇몸이 내려가면 단순히 보기만 신경 쓰이는 게 아니예요.

 

치아 뿌리 부분이 노출되면서 시림이 심해지고

음식물이 더 잘 끼거나

양치할 때 시리거나 불편할 수 있어요.

 

또 잇몸이 약해진 상태가 계속되면

주변 잇몸 건강에도 영향을 줄 수 있어서

그대로 방치하면 더큰 치료비가 들어갈 수 있어 방치하면 안좋아요.

 

출처 - 권의시선 : 치과의사 권낙현 유튜브 (임플란트 시술이  잘못된 경우 잇몸이 내려앉을 수 있습니다.)

 

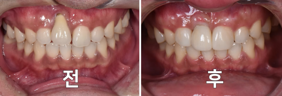
결합조직 이식술이란?

 

결합조직 이식술은

잇몸이 내려간 부위에 본인의 잇몸 조직을 이식해 보강하는 치료를 말해요.

 

보통 입천장 쪽의 결합조직을 일부 잘라내어 

잇몸이 얇아지거나 내려간 부위에 옮겨 심고 이식하는 방식이예요.

 

이를 통해 잇몸 두께를 보강하고

노출된 치아 뿌리를 덮는 것을 목표로 합니다.

 

여러 가지 내려앉은 잇몸 치료방법이 있어요.

 

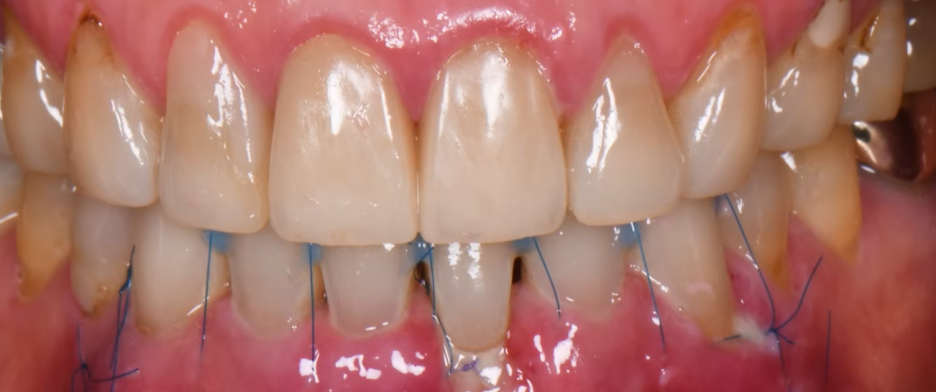
1.CTG 결합조직이식술

출처 - 권의시선 : 치과의사 권낙현 유튜브  CTG(결합조직이식술)-입천장에서 결합조직을 채취하여 내려앉은 잇몸에 이식하는 치료방식

 

출처 - 권의시선 : 치과의사 권낙현 유튜브  입천장에서 채취한 조직을 내려앉은 부위에 붙인 모습.

 

출처 - 권의시선 : 치과의사 권낙현 유튜브  수술후 실로 단단히 고정한 모습

 

출처 - 권의시선 : 치과의사 권낙현 유튜브

 

2. 임플란트 위치가 엉망인 경우

두 번째는 임플란트 위치가 엉망인 경우 잇몸이 내려갔을 때 임플란트를 빼고 다시 위치를 정상적인 자리에 고정한 후에 잇몸치료가 가능한 경우입니다.

 

깔끔하게 치료된 모습을 보실 수가 있습니다.

 

임플란트 치료가 잘 못돼서 생긴 경우에도 치료가 가능해요!!

 

3. 다발성으로 잇몸이 내려앉은 경우

 

이런 경우도 치료가 가능하다고 합니다.

여러 개의 잇몸이 내려앉았지만 한꺼번에 잇몸을 들어 올려 시술하는 방식으로

 

"잇몸을 얇게 절개해 들어 올린 뒤 이식조직을 안팎 두 겹으로 감사 지게 하는 방식"이라고 하네요.

출처 - 권의시선 : 치과의사 권낙현 유튜브  여러 개의 잇몸이 한 번에 내려앉은 모습이예요

 

출처 - 권의시선 : 치과의사 권낙현 유튜브

 

 

4. 블랙 트라이앵글

 

이 경우에는 재생이 가장 어렵고 재생이 잘되지 않아 필러를 채우는 것이 효과적인 방법이라고 합니다.

 

경우에 따라 치료 방법이 다르므로 꼭 전문가와 상의하여 치료 받으시기를 부탁드립니다.

출처 - 권의시선 : 치과의사 권낙현 유튜브 ( 블랙 트라이앵글)

모든 경우에 가능한 건 아닙니다

 

모든 치료가 가능한 것은 아니지만 할 수 있는 경우가 많다고 해요.

 

 

잇몸 상태, 염증 여부 치아 위치와 원인 등에 따라

치료 가능 여부와 방법이 달라질 수 있지만

 

현재 잇몸 상태를 정확히 진단받아 보시고 

표기 하지 말고 한번 도전해 보세요.

 

시술 후 관리가 중요해요

CTG 결합조직 이식술은

시술 자체만큼이나 이후 관리가 중요해요.

 

양치 습관을 부드럽게 바꾸는 것은 기본이고요.

 

정기적인 치과 관리와

 

잇몸에 무리가 가지 않도록 피곤하지 않은 생활 습관 가져야

결과를 오래 유지하는 데 도움이 된다고 합니다.

 

치료 후에 이전과 같은 습관을 그대로 유지하면

다시 잇몸이 약해질 수 있다는 점 꼭 기억하셔야 해요.

 

내려앉은 잇몸, 더 늦기 전에 꼭 확인해 보세요.

몸이 내려앉았다고 느껴질 때

“이미 늦은 거 아니야?” 하고 포기하지 마시고

상태에 따라서는

결합조직 이식술 같은 치료로 개선을 기대해 볼 수 있어요.

 

혼자서 판단하지 마시고

병원에 가셔서 지금의 치아 상태를 정확히 확인해 보세요.

 

잇몸은 참고 사는 문제가 아니라는 거 잘 아시죠?

치아는 멀쩡한데

잇몸 때문에 불편함을 참고 사는 분들 정말 많으시잖아요.

 

잇몸 건강은 치아 건강과 직결돼 있다는거 잊지마시고

서둘러서 병원 치료를 받아보세요.

 

반응형